Ultraschallbilder
so erkenne ich, was das eigentlich sein soll.
Eine Reportage von Dr. h.c. Prügelpeitsch

Wir warten auf den Ultraschall :-)

 

Jetzt wird mein Bauch nackig gemacht, das finde ich ganz blöd!!! So kann ich mich Digger nicht mehr zeigen!

Fertig, nichts wie runter von dem Tisch! Aber, wir bekommen Babys! Ich habe das schon lange gewußt, diese Menschen immer, null Ahnung :-)
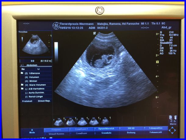
Im oberen Teil des Bildes ist die Fruchtblase als schwarzer Kreis zu erkennen, das graue Gebilde darin ist ein Welpe.
Auch hier wieder sehr gut zu erkennen, ein schon relativ großer Welpe. Die Welpen sind hier 29 Tage alt!

 

Farouche ist tragend, wir erwarten die Babys um den 11.04.2016 und freuen uns schon alle riesig! Ab sofort nehme ich Vorbestellungen für die Babys an.

Die Welpen werden bei uns liebevoll in der Familie aufgezogen und auf das Leben bei ihren neuen Familien vorbereitet. Wir legen sehr großen Wert auf eine tiergerechte und kontaktreiche Aufzucht, über Besuch von Freunden und Welpeninteressenten freuen wir uns sehr. Natürlich ist das erst ab der vierten Lebenswoche der Welpen und nach Absprache mit uns möglich. Unser buntgemischtes Hunderudel beteiligt sich intensiv an der Erziehung und Prägung der Welpen. Ob Pudel-Tanten, Groeni-Oma Shiva - die nun zur Uroma wird, Mama Abigail - die nun das erste Mal Oma wird, Mali-Tante Avanti, und unsere Jüngste - Malikind Akela, alle tragen ihren Teil zur optimalen Entwicklung der Babys bei.

In der "Newstime" Sonderausgabe 2016 können sie jede Woche einen Bericht mit schönen Fotos über die Entwicklung der Babys sehen. Einfach "News" anklicken oder "Aktuelles" und dann "Zeitung lesen"!

Die Welpen werden mit Vollendung der achten Lebenswoche an ihre neuen Familien abgegeben. Sie sind mehrfach entwurmt, geimpft, gechipt und erhalten VDH/FCI - Ahnentafeln. Sie bekommen Futter für die ersten 14 Tage und eine Überraschung in ihr neues Zuhause mit.

Ein guter Kontakt zu unseren Welpenkäufern ist uns sehr wichtig. Natürlich sind wir sehr interessiert an der weiteren Entwicklung unserer Welpen, aber wir möchten auch bei auftretenden Fragen und Problemen den neuen Hundebesitzern hilfreich zur Seite stehen. Wir wählen unsere Welpenkäufer sehr sorgfältig aus, in Zwingerhaltung geben wir keine Welpen!

Nr. 1/2016
NEWSTIME2

Inhaltsverzeichnis