Ultraschallbilder
so erkenne ich, was das eigentlich sein soll.
Eine Reportage von Dr. h.c. Prügelpeitsch

 

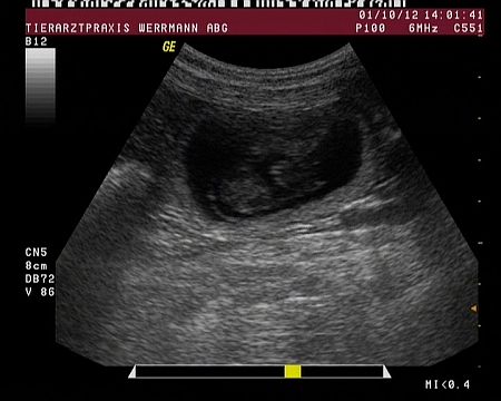
Auf diesem Bild ist sehr klar die Fruchtblase mit dem darin liegenden Welpen zu erkennen. Der Welpe ist 33 Tage alt.

 

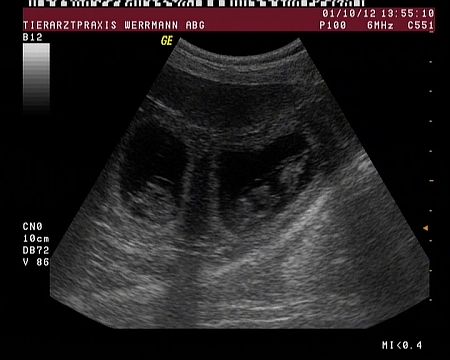
Hier sehen sie zwei Fruchtblasen mit den darin liegenden Welpen.

Abigail ist tragend, wir freuen uns schon alle riesig auf die Babys! Ab sofort nehme ich Vorbestellungen für die Babys an.

Die Welpen werden bei uns liebevoll in der Familie aufgezogen und auf das Leben bei ihren neuen Familien vorbereitet. Wir legen sehr großen Wert auf eine tiergerechte und kontaktreiche Aufzucht, über Besuch von Freunden und Welpeninteressenten freuen wir uns sehr. Natürlich ist das erst ab der vierten Lebenswoche der Welpen und nach Absprache mit uns möglich. Unser buntgemischtes Hunderudel beteiligt sich intensiv an der Erziehung und Prägung der Welpen. Ob Pudel-Tanten, Groeni-Oma Shiva, Mali-Tante Avanti und unsere Jüngste, Gröni-Teenie Yoopee, alle tragen ihren Teil zur optimalen Entwicklung der Babys bei. Avanti, Yoopee und Pudelchen Sydney dürfen schon sehr früh zu den Babys, sie sind die besten Babysitter der Welt!

In der "Newstime" Sonderausgabe 2012 können sie jede Woche einen Bericht mit schönen Fotos über die Entwicklung der Babys sehen. Einfach "News" anklicken oder "Aktuelles" und dann "Zeitung lesen"!

Die Welpen werden mit Vollendung der achten Lebenswoche an ihre neuen Familien abgegeben. Sie sind mehrfach entwurmt, geimpft, gechipt und erhalten VDH/FCI - Ahnentafeln. Sie bekommen Futter für die ersten 14 Tage und eine Überraschung in ihr neues Zuhause mit.

Ein guter Kontakt zu unseren Welpenkäufern ist uns sehr wichtig. Natürlich sind wir sehr interessiert an der weiteren Entwicklung unserer Welpen, aber wir möchten auch bei auftretenden Fragen und Problemen den neuen Hundebesitzern hilfreich zur Seite stehen. Wir wählen unsere Welpenkäufer sehr sorgfältig aus, in Zwingerhaltung geben wir keine Welpen!

Nr. 1/2012
NEWSTIME10

Inhaltsverzeichnis