Ultraschallbilder
so erkenne ich, was das eigentlich sein soll.
Eine Reportage von Dr. h.c. Prügelpeitsch

Wir warten auf den Ultraschall :-)

 

Hier liegt es sich doch ganz bequem, gestreichelt werde ich auch die ganze Zeit, nur blöd das mein Bauch wieder total nackig gemacht wurde!

Fertig, wir bekommen Babys! Ich habe das schon lange gewußt, diese Menschen immer, null Ahnung :-)
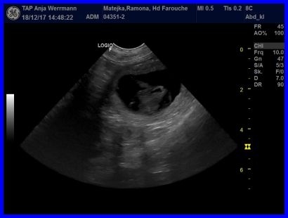
Auf diesem Bild sind gleich drei Fruchtblasen mit Babys zu sehen.

 

 

Farouche ist tragend, wir erwarten die Babys um den 18.01.2018 und freuen uns schon alle riesig! Ab sofort nehme ich Vorbestellungen für die Babys an.

Die Welpen werden bei uns liebevoll in der Familie aufgezogen und auf das Leben bei ihren neuen Familien vorbereitet. Wir legen sehr großen Wert auf eine tiergerechte und kontaktreiche Aufzucht, über Besuch von Freunden und Welpeninteressenten freuen wir uns sehr. Natürlich ist das erst ab der vierten Lebenswoche der Welpen und nach Absprache mit uns möglich. Unser buntgemischtes Hunderudel beteiligt sich intensiv an der Erziehung und Prägung der Welpen. Ob Pudel-Tanten, Groeni-Oma Shiva - die nun schon wieder Uroma wird, Mama Abigail - die nun das zweite Mal Oma wird, Mali-Tante Avanti, und unsere Jüngste im Rudel - Akela, alle tragen ihren Teil zur optimalen Entwicklung der Babys bei.

In der "Newstime" Sonderausgabe 2018 können sie jede zweite Woche einen Bericht mit schönen Fotos über die Entwicklung der Babys sehen. Einfach "News" anklicken oder "Aktuelles" und dann "Zeitung lesen"!

Die Welpen werden mit Vollendung der achten Lebenswoche an ihre neuen Familien abgegeben. Sie sind mehrfach entwurmt, geimpft, gechipt und erhalten VDH/FCI - Ahnentafeln. Sie bekommen Futter für die ersten 14 Tage und eine Überraschung in ihr neues Zuhause mit.

Ein guter Kontakt zu unseren Welpenkäufern ist uns sehr wichtig. Natürlich sind wir sehr interessiert an der weiteren Entwicklung unserer Welpen, aber wir möchten auch bei auftretenden Fragen und Problemen den neuen Hundebesitzern hilfreich zur Seite stehen. Wir wählen unsere Welpenkäufer sehr sorgfältig aus, in Zwingerhaltung geben wir keine Welpen!

Nr. 1/2017
NEWSTIME13

Inhaltsverzeichnis